近日,best365中国官方网站植物抗逆细胞分子生物学江元清教授课题组在Plant Journal在线发表了题目“WRKY6 transcription factor modulates root potassium acquisition through promoting expression of AKT1 in Arabidopsis”的研究论文。该研究利用多种技术揭示了拟南芥中WRKY6-AKT1模块能够调控钾离子的吸收,增强植物适应低钾的能力。best365中国官方网站已毕业博士生牛芳芳和在读研究生崔醒为论文共同第一作者,杨博副教授参与了该项目并做出了重要贡献,江元清教授与加拿大UBC大学的Michael K Deyholos教授为共同通讯作者。

钾是植物所需的大量元素之一。提高植物的钾肥利用效率至关重要。过往研究表明植物通过两类系统从环境中吸收钾营养,即高亲和转运系统与低亲和转运系统,分别以HAK5与AKT1为代表。 文献已经报道了 HAK5 的上游调控转录因子,然而对于 AKT1 的上游转录调控因子尚未见任何报道。
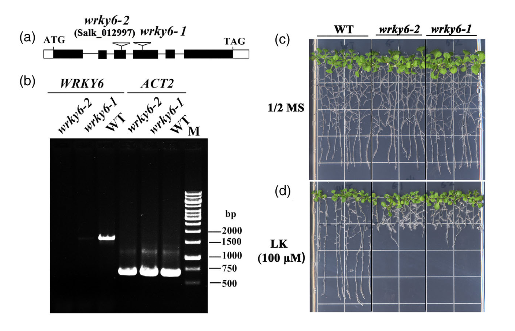
该研究通过筛选拟南芥突变体,发现WRKY6转录因子基因的突变体的生长对低钾高度敏感,而该基因的过表达材料呈现相反的表型。WRKY6的表达对于低钾处理有明显的快速响应。通过多种探究发现重要的调控钾离子吸收的离子通道蛋白AKT1基因是WRKY6的靶标,进一步通过分子生物学试验证据以及遗传试验材料证明了上下游调控关系。转录组测序分析标明,WRKY6调节多种不同转录因子以及激酶基因的转录。该研究揭示了一个新颖的转录因子-离子通道模块调控植物钾离子吸收的基本机制,对于培育钾吸收效率提高的作物具有借鉴意义。
该研究得到了国家自然科学基金等的项目资助。
论文链接:https://onlinelibrary.wiley.com/doi/10.1111/tpj.16703
编辑:黄海瀛
终审:王 存