近日,best365中国官网王存课题组在New Phytologist在线发表了题为“CBL1/9-CIPK23-NRAMP1 Axis Regulates Manganese Toxicity”的研究论文,揭示了钙信号调控植物高锰胁迫的重要机制。
锰 (Mn) 是植物生长发育的必需微量元素, 但酸性土壤和渍水土壤造成的锰毒害会影响作物的产量和品质。Ca2+是真核细胞内广泛存在的第二信使,在植物的生长发育、营养代谢、以及逆境胁迫等过程中均具有举足轻重的作用。该课题组近期研究发现高锰能够激发Ca2+信号,激活钙依赖蛋白激酶CPK4/5/6/11磷酸化并激活MTP8,从而增强对锰毒害的耐受能力 (Zhang et al., 2021)。另一类钙感受器CBL2/3-CIPK3/9/26复合体通过磷酸化MTP8抑制其转运活性,与CPK4/5/6/11拮抗调控植物锰稳态,植物借此实现生长和逆境的最佳平衡(Ju et al., 2022)。此外,该课题组还发现低锰胁迫可以触发与高锰胁迫(HMnSN) 不同的一种长时间的Ca2+信号 (LMnSN),激活CPK21/23通过磷酸化NRAMP1蛋白的Thr498增强NRAMP1吸收Mn的能力,从而提高对低锰胁迫的耐受性(Fu et al., 2022)。然而,锰信号转导的转录及转录后调控机制研究在很大程度上还不清楚。
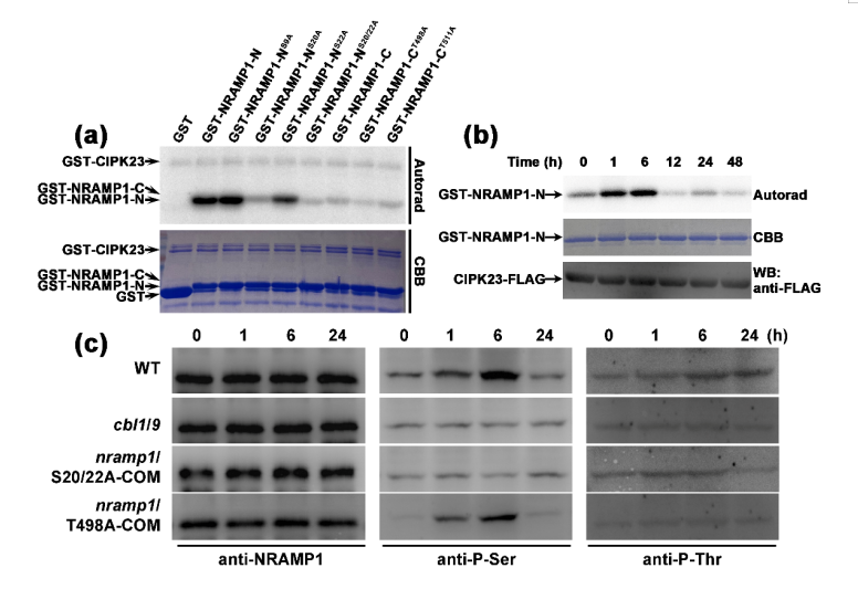
在本研究中,该课题组鉴定了钙感受器CBL1/9及其互作激酶CIPK23形成的复合体正调控拟南芥对锰毒害的耐受能力。研究发现cbl1/9双突变体与cipk23突变体均表现出高锰敏感表型。CBL1以及CIPK23过表达转基因植株的高锰胁迫耐受能力显著提高。此外,通过多种体内/外蛋白互作实验发现CIPK23与锰转运蛋白NRAMP1相互作用,且CIPK23磷酸化修饰NRAMP1的第20/22位丝氨酸,通过体内磷酸化实验进一步发现该磷酸化修饰过程受高锰胁迫诱导,磷酸化水平在高锰处理6h达到最高 (图1)。

图1CIPK23磷酸化修饰NRAMP1
此外,NRAMP1融合GFP的亚细胞定位分析实验表明,NRAMP1的内吞作用随高锰处理时间增加逐渐增强。与体内磷酸化结果相对应,内吞作用也在高锰处理6h达到最高水平,而CBL1/9以及CIPK23的缺失突变与NRAMP1的模拟非磷酸化形式突变(NRAMP1S20/22A) 相同,均严重影响了NRAMP1高锰诱导的内吞作用(图2)。

图2 Ser20/22的磷酸化对NRAMP1的内吞作用至关重要
综上,CBL1/9-CIPK23-NRAMP1信号通路调控拟南芥对高锰毒害的耐受能力。高锰诱导Ca2+信号激活CBL1/9-CIPK23复合体,进而磷酸化NRAMP1的第20/22位丝氨酸,从而诱导网格蛋白介导的NRAMP1的内吞作用,以减少其在质膜上的分布,降低植物对锰的吸收,进而增强植物对锰毒害的耐受能力(图3)。本研究丰富了钙信号调控植物对锰毒害的耐受机制,并为解决酸性土壤锰毒害造成的农业安全生产问题提供了理论基础。西北农林科技老员工命科学公司张振乾副教授为该论文的第一作者,王存教授为通讯作者,该研究得到了国家自然科学基金委等项目的资助。

图3 Ca2+-CBL1/9-CIPK23-NRAMP1信号途径调控植物高锰胁迫模式图
文章链接:http://doi.org/10.1111/nph.18968
参考文献
Fu, D.#, Zhang, Z.#, Wallrad, L.#, Wang, Z., Höller, S., Ju, C., Schmitz-Thom, I., Huang, P., Wang, L., Peiter, E., Kudla, J.*, and Wang, C*. (2022). Ca2+-dependent phosphorylation of NRAMP1 by CPK21 and CPK23 facilitates manganese uptake and homeostasis in Arabidopsis. Proc Natl Acad Sci U S A 119, e2204574119.
Ju, C.#, Zhang, Z.#, Deng, J.#, Miao, C., Wang, Z., Wallrad, L., Javed, L., Fu, D., Zhang, T., Kudla, J., Gong, Z., and Wang, C*. (2022). Ca2+-dependent successive phosphorylation of vacuolar transporter MTP8 by CBL2/3-CIPK3/9/26 and CPK5 is critical for manganese homeostasis in Arabidopsis. Mol Plant 15, 419-437.
Zhang, Z., Fu, D., Sun, Z., Ju, C., Miao, C., Wang, Z., Xie, D., Ma, L., Gong, Z., and Wang, C*. (2021). Tonoplast-associated calcium signaling regulates manganese homeostasis in Arabidopsis. Mol Plant 14, 805-819.
编辑:黄海瀛
终审:王 存